medici analizand fisa medicala a unui pacient cu Adenom hipofizar

Adenom hipofizar

Alte denumiri: Adenom pituitar

Descoperă informații utile despre adenom hipofizar: de la cauze, factori de risc, simptome, diagnosticare, până la metode de tratament și de prevenție.

Pentru recomandări personalizate, solicită o programare la un medic din Sistemul Medical MedLife.

Despre adenomul hipofizar

Adenomul hipofizar este o tumoră benignă (necanceroasă), care apare la nivelul glandei hipofize. Este o afecțiune destul de frecventă, la aproximativ 10% dintre examenele RMN fiind identificat un adenom hipofizar.

Hipofiza este o glandă mică, cu dimensiuni până în 10 mm și o greutate de 0,5 g, situată în spatele nasului, la baza creierului, într-o cavitate a osului sfenoid („șaua turcească”). În ciuda dimensiunilor reduse, hipofiza are un rol foarte important, constituind un centru de control al celorlalte glande endocrine (tiroidă, suprarenală, ovare, testicule).

Hipofiza are două componente:

  • anterioară (adenohipofiza): secretă majoritatea hormonilor hipofizari (prolactină, hormon de creștere, TSH, ACTH, FSH, LH);
  • posterioară (neurohipofiza): secretă hormonii vasopresină și oxitocină.

Adenomul hipofizar se dezvoltă în celulele din adenohipofiză.


Tipuri de adenom hipofizar

Acest tip de tumoră poate fi de mai multe tipuri:

În funcție de mărime:

  • microadenom (dimensiuni sub 10 mm): rămâne localizat în interiorul șeii turcești, neafectând structurile din jur și activitatea hipofizei;
  • macroadenom (peste 10 mm): se poate extinde în afara șeii turcești și determină diverse simptome, prin comprimarea hipofizei și a structurilor învecinate (chiasmă optică, hipotalamus, creier, nervii mușchilor oculari).

În funcție de datele clinice:

În funcție de datele clinice, adenomul hipofizar se împarte în adenom nefuncțional și adenom funcțional.

Adenomul nefuncțional nu determină simptome clinice prin exces de hormoni, dar este, de obicei, mare și comprimă structurile din zonă și hipofiza. Reprezintă 25-30% din adenoamele hipofizare și este diagnosticat mai des la vârstnici.

Adenom funcțional (secretant) produce hormoni în exces, determină semne clinice specifice și este mai frecvent diagnosticat la tineri.

  • prolactinomul: secretă prolactină, determină secreție lactată (galactoree) și tulburări de ciclu menstrual la femei (amenoree); reprezintă 30% din adenoamele funcționale;
  • somatotropinom: secretă GH (hormon de creștere) și provoacă acromegalie sau gigantism; reprezintă 30% din adenoamele funcționale;
  • adenom secretant de ACTH: determină Boala Cushing sau Sindrom Nelson și reprezintă 5-10% din adenoamele funcționale;
  • tireotropinom: secretă TSH și determină hipertiroidism. Apare rar, cu o frecvență mai mică de 1%;
  • adenom care secretă mai multe tipuri de hormoni: cel mai frecvent cu secreție mixtă de prolactină și hormon de creștere.
Ilustratie 3d a glandei hipofize

Cauze

Cauza apariției adenoamelor hipofizare nu este cunoscută cu precizie, dar s-a observat că există anumite mutații genetice care duc la aparția lor: mutații în gena AIP și mutații în gena GNAS1. Acestea pot să apară accidental (ex: după iradiere sau expunere la medii toxice), ori pot fi moștenite de la părinți.

Unele studii sugerează că persoanele care suferă de obezitate în tinerețe pot avea un risc mai mare de a dezvolta adenom hipofizar.

Factori de risc

Există anumite afecțiuni genetice asociate cu risc mai mare de apariție a adenomului hipofizar:

  • sindromul MEN1, MEN4;
  • complexul Carnney;
  • sindromul X-LAG;
  • neurofibromatoza de tip1;
  • sindromul von Hippel-Lindau;
  • adenomul hipofizar familial legat de SDH (succinat dehidrogenază).

Simptome

Simptomele determinate de adenomul hipofizar apar fie din cauza creșterii locale și a comprimării structurilor anatomice din vecinătate, fie din cauza modificărilor hormonale.

De obicei, un adenom hipofizar funcțional poate fi descoperit într-un stadiu mai puțin avansat deoarece, prin secreția sa hormonală, produce simptome specifice. Un adenom nefuncțional va fi descoperit după ce crește mult și determină simptome cerebrale sau afectarea vederii.


Tipuri de simptome

Simptomele pot fi de mai multe tipuri:

Simptome de compresie a structurilor nervoase din zonă:

  • durere de cap, greață și vărsături din cauza creșterii presiunii intracraniene;
  • tulburări psihice;
  • crize epileptice;
  • tulburări de termoreglare, ale somnului, ale comportamentului alimentar, diabet insipid (dacă adenomul se extinde spre hipotalamus și creier);
  • tulburări de vedere prin compresie pe chiasma optică (scăderea văzului la unul sau ambii ochi, îngustarea câmpului vizual);
  • modificări ale fundului de ochi, de tipul edemului papilar;
  • exoftalmie unilaterală (ieșirea ochiului din orbită) sau pareze de nervi cranieni (căderea pleoapei, vedere dublă, amorțeli sau dureri la nivelul feței).

Simptome de compresie a glandei hipofize

Atunci când adenomul este mare, va comprima hipofiza, iar aceasta nu va mai produce suficienți hormoni. Printre cele mai des întâlnite simptome se numără:

  • stare de slăbiciune, tensiune mică, greață, vărsături;
  • senzație de frig;
  • tulburări ale ciclului menstrual la femei și disfuncție sexuală la bărbați;
  • scăderea libidoului;
  • diabet insipid: sete excesivă, cu aport de lichide peste patru litri pe zi și urinare excesivă;
  • creștere sau scădere în greutate.

Simptome legate de hipersecreția hormonală

Aceste simptome apar din cauza hormonilor secretați în exces de un adenom funcțional:

Hipersecreția de prolactinom

  • la femei determină: menstre neregulate (întârzie sau se oprește complet menstra), secreție din sâni cu aspect de lapte, care apare la apăsare sau spontan (prezentă la ambii sâni și din mai multe canale galactoree), scăderea densității osoase și risc de fracturi.
  • la bărbați determină: tulburări de erecție, scăderea numărului de spermatozoizi, scăderea libidoului, creșterea sânilor.

Adenom secretant de hormon de creștere

Când adenomul apare la copii înaintea închiderii cartilajelor de creștere, duce la gigantism.

La adulți, adenomul secretant de hormon de creștere determină acromegalie, caracterizată prin:

  • modificări ale trăsăturilor faciale: nasul se mărește, bărbia iese în afară, spațiile dintre dinți se măresc, limba crește în dimensiune, pielea devine mai groasă, uleioasă;
  • mărirea mâinilor, a picioarelor, a craniului;
  • transpirații excesive;
  • artroze, dureri și deformări articulare;
  • mărirea inimii: hipertensiune arterială, afectarea valvelor inimii;
  • mărirea ficatului, a splinei;
  • modificări metabolice: diabet zaharat de tip II, hipercolesterolemie;
  • sindrom de apnee în somn, somnolență în timpul zilei;
  • risc mai mare de cancere esofagiene, gastrice, de colon, de tiroidă, melanoame şi limfoame.

Adenom secretant de ACTH

ACTH-ul stimulează glanda suprarenală să producă prea mult cortizol și determină apariția bolii Cushing. Pacientul poate prezenta:

  • creștere în greutate: grăsimea se depune în special pe trunchi și ceafă;
  • piele subțire, fragilă, cu vânătăi, vergeturi, acnee;
  • tulburări psihice: tulburări de memorie, disfuncții cognitive, iritabilitate, anxietate, insomnie, depresie, psihoze;
  • scăderea masei musculare la nivelul mâinilor și picioarelor: pacientului îi este greu să urce scări, să se ridice din scaun sau din poziția pe vine);
  • afectarea osului cu apariția osteoporozei și a fracturilor, durerilor de spate și scăderii în înălțime (prin fracturi vertebrale), necroza de cap femural;
  • pietre la rinichi;
  • la femei: dereglări de ciclu menstrual, creșterea părului la nivelul feței (hirsutism);
  • la bărbați: disfuncție erectilă, libidou scăzut, probleme de fertilitate;
  • la copii: pe lângă obezitate, apare și o întârziere de creștere;
  • infecții mai frecvente: reactivarea tuberculozei, infecții fungice la nivelul pielii și unghiilor;
  • ulcer gastric sau duodenal;
  • oboseală exagerată, edeme pe membrele inferioare;
  • hipertensiune arterială, diabet zaharat;
  • afectare oculară: glaucom, exoftalmie, cataractă.

Adenom secretant de TSH

Stimulează tiroida să producă prea mult hormon și apar semne de hipertiroidism:

  • scădere în greutate;
  • palpitații;
  • scaune dese;
  • nervozitate, agitație, insomnie;
  • transpirații excesive;
  • tremor al mâinilor.
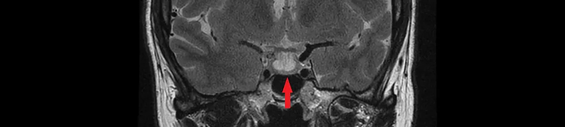
Scan RMN al creierului cu glanda hipofiza indicata printr-o sageata rosie

Diagnosticare

Dacă la un control medical sau la o investigație imagistică (CT, IRM) se suspectează diagnosticul de adenom hipofizar, pacientul va fi trimis la medicul specialist endocrinolog.

Pe lângă discuția cu pacientul și examinarea fizică, va fi necesară și recoltarea de sânge; în primă fază, vor fi evaluați toți hormonii hipofizari, precum și hormonii secretați de glandele controlate de hipofiză (prolactină, IGF1, ACTH, TSH, FSH, LH, Ft4, Ft3, testosteron, estradiol, cortizol). Ulterior, medicul va stabili dacă sunt necesare testări mai complexe (teste de stimulare sau supresie), pentru a confirma diagnosticul.

Cea mai utilă investigație imagistică (care vizualizează adenomul) este rezonanța magnetică nucleară (IRM) de hipofiză cu substanță de contrast. Aceasta va permite stabilirea dimensiunilor adenomului, efectelor acestuia asupra structurilor din jur și urmărirea periodică (la 6 – 12 – 24 de luni) a evoluției adenomului.

În cazul macroadenoamelor este indicat și un examen oftalmologic cu evaluarea acuității vizuale, a câmpului vizual, examenul fundului de ochi și al motilității oculare.

Tratament

Tratamentul în cazul acestei afecțiuni este diferențiat, în funcție de tipul adenomului:

  • nefuncțional mic (sub 1 cm): va fi urmărit periodic cu IRM și analize de sânge; nu este necesar alt tratament;
  • nefuncțional mare (apasă pe structurile din jur și produce simptome): se poate efectua operație sau radioterapie. Iradierea este utilizată, de obicei, atunci când pacientul are contraindicații pentru operație sau când operația nu a reușit să scoată tot adenomul;
  • prolactinomul: este singurul adenom funcțional care are tratament de primă intenție medicamentos. Atât pentru microprolactinoame, cât și pentru macroprolactinoame se începe cu medicație specifică: agoniști dopaminergici, care duc la scăderea prolactinei și micșorarea adenomului hipofizar;
  • adenomul secretant de hormon de creștere, adenomul secretant de ACTH și adenomul secretant de TSH: au indicație de operație sau, dacă aceasta nu este posibilă sau nu a reușit, se va folosi radioterapia.

Complicații

Adenomul hipofizar poate provoca o serie de complicații:

  • pierderea vederii;
  • distrugerea hipofizei: este necesar tratament hormonal de substituție toată viața;
  • apoplexia pituitară (sângerare bruscă la nivelul adenomului): se manifestă ca o durere de cap foarte intensă, stare de șoc, căderea pleoapei. Este necesar tratament de urgență cu corticoterapie și, eventual, intervenție chirurgicală;
  • complicații legate de operație, de iradierea adenomului sau de medicamentele utilizate pentru tratarea adenomului.

Prevenție

În cazul adenomului hipofizar nu se poate vorbi despre măsuri specifice de prevenție, având în vedere că factorii care duc la apariția lui nu sunt pe deplin cunoscuți.

La persoanele care au rude diagnosticate cu adenom hipofizar, precum și la persoanele cu anumite afecțiuni genetice (neurofibromatoză, sindrom MEN1, MEN4, complex Carnney, sindrom von Hippel-Lindau) este necesar un control endocrinologic periodic, cu analize de sânge hormonale și IRM hipofizar.

Autor

Dr. Pârlog-Cristian Ana-Loredana

Medic Primar Endocrinologie

Bibliografie

  1. “Pituitary Adenoma - Symptoms, Diagnosis and Treatment | BMJ Best Practice US.” Bmj.com, 2022, https://bestpractice.bmj.com
  2. “Pituitary Adenomas: Definition, Symptoms & Treatment.” Cleveland Clinic, 2022, https://my.clevelandclinic.org
  3. “Pituitary Adenoma.” Hopkinsmedicine.org, 8 Aug. 2021, www.hopkinsmedicine.org
  4. “Pituitary Tumors - Symptoms and Causes.” Mayo Clinic, 2021, www.mayoclinic.org

Echipa medicală - Endocrinologie și Neurologie

Solicită o programare

Alege opțiunea de a te programa online, simplu și rapid, prin intermediul formularului de programare.

femeie fericita care lucreaza folosind mai multe dispozitive pe un birou la domiciliu